中文名稱: 兔抗ACSF2多克隆抗體
|
Background: |
Acyl-CoA synthases catalyze the initial reaction in fatty acid metabolism, by forming a thioester with CoA. Has some preference toward medium-chain substrates. Plays a role in adipocyte differentiation. |
|
Applications: |
ELISA, IHC |
|
Name of antibody: |
ACSF2 |
|
Immunogen: |
Fusion protein of human ACSF2 |
|
Full name: |
acyl-CoA synthetase family member 2 |
|
Synonyms: |
ACSMW; AVYV493 |
|
SwissProt: |
Q96CM8 |
|
ELISA Recommended dilution: |
5000-10000 |
|
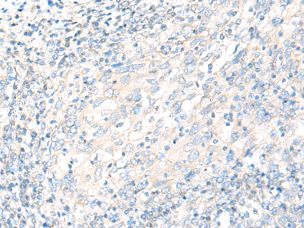
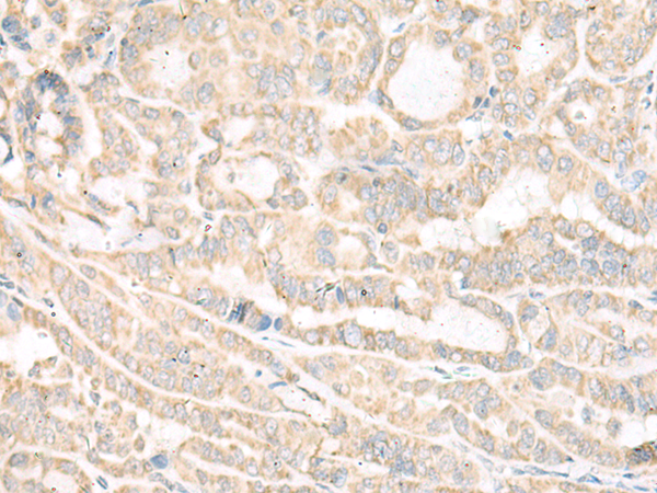
IHC positive control: |
Human thyroid cancer and Human cervical cancer |
|
IHC Recommend dilution: |
30-150 |


購物車
幫助
021-54845833/15800441009
