|
Background: |
This gene is a member of the VAV gene family. The VAV proteins are guanine nucleotide exchange factors (GEFs) for Rho family GTPases that activate pathways leading to actin cytoskeletal rearrangements and transcriptional alterations. This gene product acts as a GEF preferentially for RhoG, RhoA, and to a lesser extent, RAC1, and it associates maximally with the nucleotide-free states of these GTPases. Alternatively spliced transcript variants encoding different isoforms have been described for this gene. |
|
Applications: |
ELISA, IHC |
|
Name of antibody: |
VAV3 |
|
Immunogen: |
Synthetic peptide of human VAV3 |
|
Full name: |
vav guanine nucleotide exchange factor 3 |
|
SwissProt: |
Q9UKW4 |
|
ELISA Recommended dilution: |
5000-10000 |
|
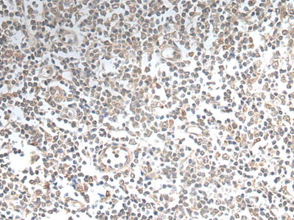
IHC positive control: |
Human thyroid cancer and human tonsil |
|
IHC Recommend dilution: |
25-100 |

購物車
幫助
021-54845833/15800441009
