|
Background: |
The protein encoded by this gene is a member of the TNF-receptor superfamily. This receptor contains an extracellular TRAIL-binding domain, a transmembrane domain, and a truncated cytoplamic death domain. This receptor does not induce apoptosis, and has been shown to play an inhibitory role in TRAIL-induced cell apoptosis. |
|
Applications: |
ELISA, WB, IHC |
|
Name of antibody: |
TNFRSF10D |
|
Immunogen: |
Synthetic peptide of human TNFRSF10D |
|
Full name: |
TNF receptor superfamily member 10d |
|
Synonyms: |
DCR2; CD264; TRUNDD; TRAILR4; TRAIL-R4 |
|
SwissProt: |
Q9UBN6 |
|
ELISA Recommended dilution: |
5000-10000 |
|
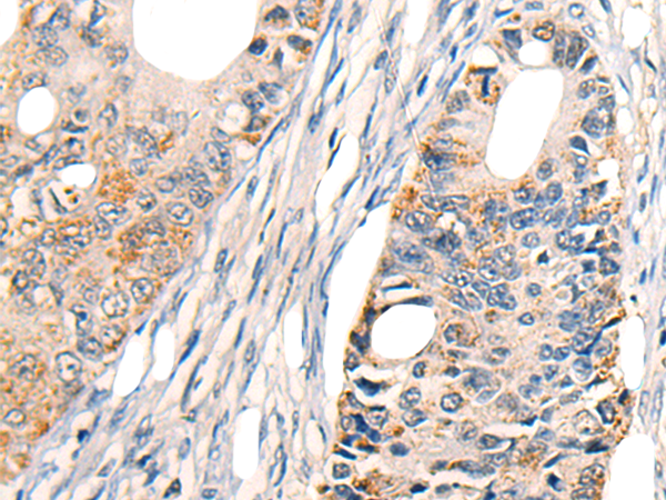
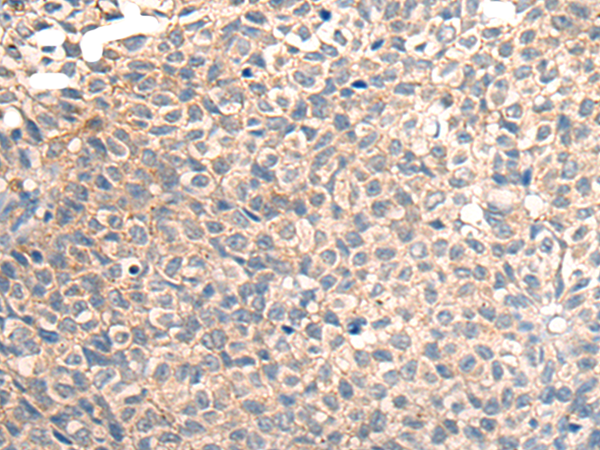
IHC positive control: |
Human ovarian cancer and Human colorectal cancer |
|
IHC Recommend dilution: |
20-100 |
|
WB Predicted band size: |
42 kDa |
|
WB Positive control: |
293T cell lysate |
|
WB Recommended dilution: |
500-2000 |


購(gòu)物車
幫助
021-54845833/15800441009
