|
Background: |
The function of this protein remains unknown. |
|
Applications: |
ELISA, WB, IHC |
|
Name of antibody: |
TMEM141 |
|
Immunogen: |
Fusion protein of human TMEM141 |
|
Full name: |
transmembrane protein 141 |
|
SwissProt: |
Q96I45 |
|
ELISA Recommended dilution: |
5000-10000 |
|
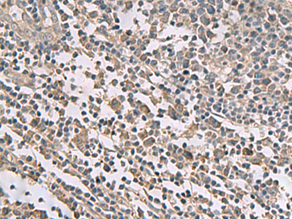
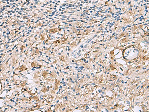
IHC positive control: |
Human cervical cancer and Human tonsil |
|
IHC Recommend dilution: |
40-200 |
|
WB Predicted band size: |
12 kDa |
|
WB Positive control: |
Human fetal liver tissue lysate |
|
WB Recommended dilution: |
500-2000 |


購物車
幫助
021-54845833/15800441009
