|
Background: |
This gene encodes an extracellular heparan sulfate endosulfatase. The encoded enzyme selectively removes 6-O-sulfate groups from heparan sulfate chains of heparan sulfate proteoglycans (HSPGs). The enzyme is secreted through the Golgi and is subsequently localized to the cell surface. The expression of this gene may be down-regulated in several types of cancer, including hepatocellular (HCC), ovarian and breast cancers. Alternative splicing results in multiple transcript variants. |
|
Applications: |
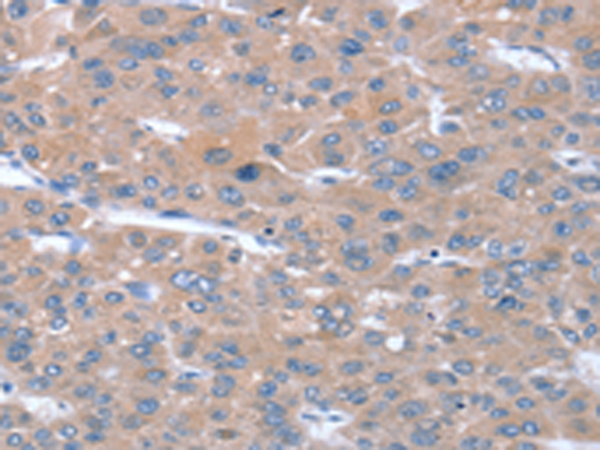
ELISA, IHC |
|
Name of antibody: |
SULF1 |
|
Immunogen: |
Synthetic peptide of human SULF1 |
|
Full name: |
sulfatase 1 |
|
Synonyms: |
SULF-1; HSULF-1 |
|
SwissProt: |
Q8IWU6 |
|
ELISA Recommended dilution: |
1000-2000 |
|
IHC positive control: |
Human liver cancer |
|
IHC Recommend dilution: |
10-50 |
購物車
幫助
021-54845833/15800441009
