中文名稱: 兔抗DDB2多克隆抗體
|
Background: |
This gene encodes a protein that is necessary for the repair of ultraviolet light-damaged DNA. This protein is the smaller subunit of a heterodimeric protein complex that participates in nucleotide excision repair, and this complex mediates the ubiquitylation of histones H3 and H4, which facilitates the cellular response to DNA damage. This subunit appears to be required for DNA binding. Mutations in this gene cause xeroderma pigmentosum complementation group E, a recessive disease that is characterized by an increased sensitivity to UV light and a high predisposition for skin cancer development, in some cases accompanied by neurological abnormalities. Two transcript variants encoding different isoforms have been found for this gene. |
|
Applications: |
ELISA, IHC |
|
Name of antibody: |
DDB2 |
|
Immunogen: |
Fusion protein of human DDB2 |
|
Full name: |
damage-specific DNA binding protein 2 |
|
Synonyms: |
XPE; DDBB; UV-DDB2 |
|
SwissProt: |
Q92466 |
|
ELISA Recommended dilution: |
1000-2000 |
|
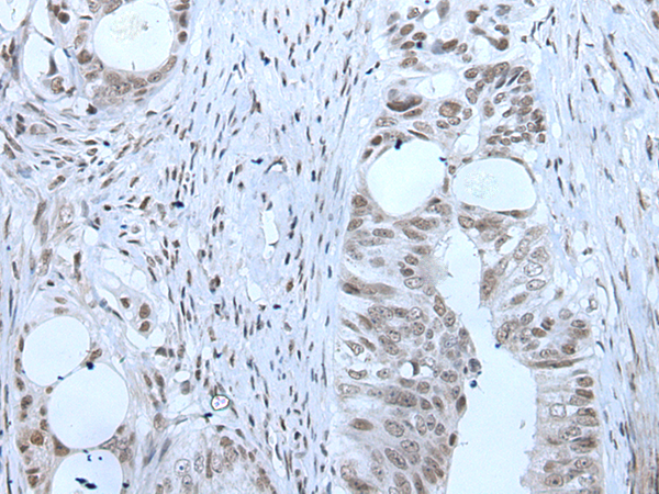
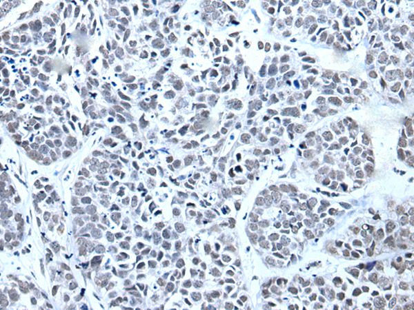
IHC positive control: |
Human esophagus cancer and human colorectal cancer |
|
IHC Recommend dilution: |
25-100 |

購物車
幫助
021-54845833/15800441009
