中文名稱:兔抗ADAM17(Phospho-Thr735) 多克隆抗體
|
Background: |
This gene encodes a member of the ADAM (a disintegrin and metalloprotease domain) family. Members of this family are membrane-anchored proteins structurally related to snake venom disintegrins, and have been implicated in a variety of biologic processes involving cell-cell and cell-matrix interactions, including fertilization, muscle development, and neurogenesis. The protein encoded by this gene functions as a tumor necrosis factor-alpha converting enzyme; binds mitotic arrest deficient 2 protein; and also plays a prominent role in the activation of the Notch signaling pathway. |
|
Applications: |
WB |
|
Name of antibody: |
ADAM17(Phospho-Thr735) |
|
Immunogen: |
Peptide sequence around phosphorylation site of Threonine 735 (P-Q-T(p)-P-G) derived from Human ADAM 17. |
|
Full name: |
ADAM metallopeptidase domain 17 |
|
Synonyms: |
CSVP; TACE; NISBD; ADAM18; CD156B |
|
SwissProt: |
P78536 |
|
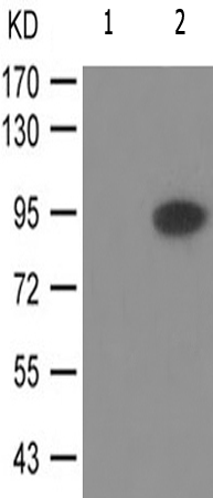
WB Predicted band size: |
93 kDa |
|
WB Positive control: |
K562 cells lysates treated with UV |
|
WB Recommended dilution: |
500-1000 |
購物車
幫助
021-54845833/15800441009
