中文名稱: 兔抗ACTL8多克隆抗體
|
Background: |
This protein belongs to the actin family. Actin-like 8 is a protein in humans that is encoded by the ACTL8 gene. The high levels expression in testis and pancreas and weak expression in placenta. The subcellular location of this protein in cytoplasm, cytoskeleton. |
|
Applications: |
ELISA, WB, IHC |
|
Name of antibody: |
ACTL8 |
|
Immunogen: |
Fusion protein of human ACTL8 |
|
Full name: |
Actin-like 8 |
|
Synonyms: |
CT57 |
|
SwissProt: |
Q9H568 |
|
ELISA Recommended dilution: |
2000-5000 |
|
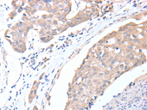
IHC positive control: |
Human breast cancer and human esophagus cancer |
|
IHC Recommend dilution: |
15-50 |
|
WB Predicted band size: |
41 kDa |
|
WB Positive control: |
Hela and A549 cells |
|
WB Recommended dilution: |
500-2000 |
購物車
幫助
021-54845833/15800441009
