|
Background: |
This gene is the putative transforming gene of avian sarcoma virus 17. It encodes a protein which is highly similar to the viral protein, and which interacts directly with specific target DNA sequences to regulate gene expression. This gene is intronless and is mapped to 1p32-p31, a chromosomal region involved in both translocations and deletions in human malignancies. |
|
Applications: |
WB, IHC |
|
Name of antibody: |
JUN(Phospho-Ser63) |
|
Immunogen: |
Peptide sequence around phosphorylation site of Serine 63(L-T-S(p)-P-D) derived from Human c-Jun. |
|
Full name: |
jun proto-oncogene |
|
Synonyms: |
AP1; AP-1; c-Jun |
|
SwissProt: |
P05412 |
|
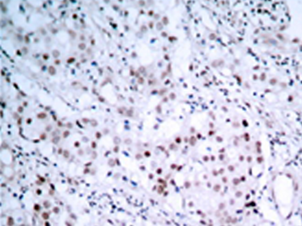
IHC positive control: |
Human breast carcinoma tissue |
|
IHC Recommend dilution: |
50-100 |
|
WB Predicted band size: |
36 kDa |
|
WB Positive control: |
Hela cells lysates |
|
WB Recommended dilution: |
500-1000 |


購物車
幫助
021-54845833/15800441009
